Case of the Month: How We Saved a Patient’s Tooth at HTX Endodontics

This month’s case highlights a simple but restoratively challenging one. Patient presented with a fractured #4, pain and sensitivity to cold.
Patient Presentation
The patient was referred to HTX Endodontics for the evaluation & treatment of Tooth #4
Fractured palatal cusp #4
Clinical findings:
- • H/O fracturing the tooth while eating food
- • Sharp sensitivity to cold
- • Lingering pain
- • No pain on percussion
Radiographic findings:
- • No periapical radiolucency
- • Intact PDL
Pre Op PA #4
Bite wing #4 showing fracture line extending to pulp
Diagnosis – Symptomatic irreversible pulpitis/ Normal Apical Tissues. Endodontic Prognosis – Favourable
Treatment Options Discussed
We discussed all possible choices with the patient:
-
Nonsurgical Root Canal Treatment
-
Extraction
-
No treatment
The patient wanted to save the natural tooth and chose root canal treatment, which is a very reliable and long-lasting option.
Treatment Provided

We completed the root canal in a single visit.
Access Cavity Prep
What we did:
● Cleaned and shaped two canals
● Removed infected and inflamed tissue
● Filled the tooth with gutta-percha and bioceramic sealer
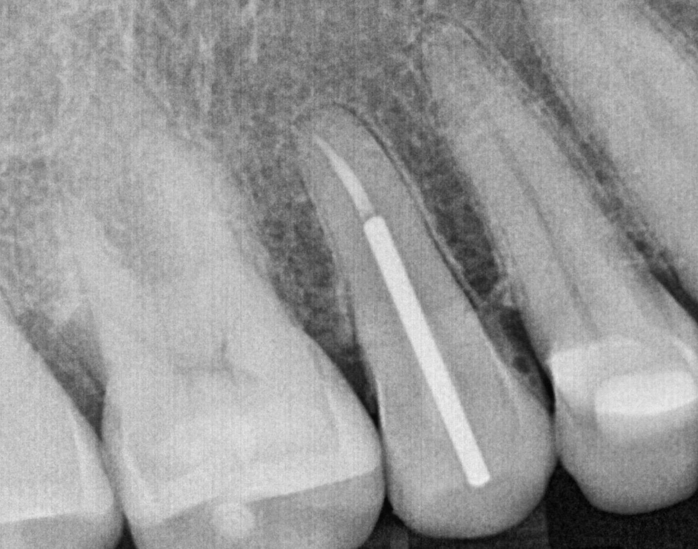
Obturation & Post Placement #4
● Placed a post and core as requested by the referring dentist
Post placement
The patient handled the procedure very well, and everything went smoothly. We shared pre-op and post-op radiographs with the referring dentist for their records.Patient headed straight to the dentists office for a crown.
Final PA#4 after post & core
A warm thank-you to the referring dentists for trusting us with this case. Working closely with our referring dentists helps us deliver the best care possible. If you ever have questions about a case or need support managing a patient with tooth pain, we’re always here to help.
HTX Endodontics – Memorial City & Uptown/Galleria
📞 Call us today at +1 713 589 3083
🌐 Schedule online at
Your smile deserves gentle, modern care — and we’re here to provide exactly that.
